State Of The Art Intradiscal Injections Can Treat Your Back Pain With Natural Regenerative Medicine Cells Right At The Source
Intradiscal Injections represent a new approach to treating lower back pain. An Intradiscal Injection is an injection of regenerative medicine substances right into a spinal disc, under x-ray guidance.
If you are suffering from low back pain due to degenerative disc disease or have had previous back surgery and continue to experience pain and discomfort in the back and leg, you may be able to utilize intradiscal injections to decrease inflammation, reduce pain, and improve function. Furthermore, intradiscal therapy is becoming a viable alternative to spinal fusion surgery for many patients suffering from degenerative disc disease (DDD).
Treat the Functional Spinal Unit
We treat the Functional Spinal Unit, not a single individual component. The functional spinal unity is the combination of two adjacent vertebra, intervertebral disc, facet joints, and the associated ligaments. It is often extremely difficult to isolate one component that causes all of your back pain. Lower back pain is usually diffuse and due to a number of problems within the Functional Spinal Unit.
We and our colleagues have observed that treating the whole Functional Spinal Unit results in superior patient outcomes rather than treating an individual intravertebral disc. So we usually do not do a single intradiscal injection into one disc. Instead, we inject into adjacent discs, facet joints and the epidural space.
The Functional Spinal Unit is composed of.
Two adjacent vertebrae.
Facet joints.
Intervertebral disc and
Intervening ligaments. The functional spinal unit is responsible for the movement of your back.
Benefits of intradiscal injections.
For many patients, specialized Intradiscal injections offer not only significant pain relief, but also a remarkable improvement in function. We have helped many patients avoid more aggressive spinal fusion surgery and also eliminate the need for long-term opioid medications.
Safety The patient’s own cells are used to promote tissue repair.
Efficiency The outpatient procedure is performed in approximately 60 minutes.
Eliminate Surgery Intradiscal injections may eliminate the need for invasive and more costly spinal surgery.
Eliminate Opioids Intradiscal injections may significantly reduce or eliminate the need for long-term opioid medications.
Get You Back to You The goal of Intradiscal Injections os to get you back to the way you were, with greater functionality and reduced pain.
Not everyone with back pain is a candidate for an intradiscal injection.
Find out of you are a candidate for intradiscal injection, Schedule a consultation with one of our patient educators now.
What’s the process to get treated with Intradiscal Injections?
Consultation. We begin by a phone consultation by one of our patient educators. If you are suitable then you will have an in-person consultation with our Medical Director, Janet D Pearl, MD MSc. We ask you to send us your CT or MRI scan ahead of time, prior to the consultation. Dr Pearl will review your X-Rays, CT or MRI and make her recommendation. We want to answer all your questions prior to the procedure.
Bone Marrow Aspirate Extraction. Your procedure is done in 2 steps, extraction and injection. First a small amount of your bone marrow is extracted under X-Ray guidance. The bone marrow is centrifuged to concentrate the cells.
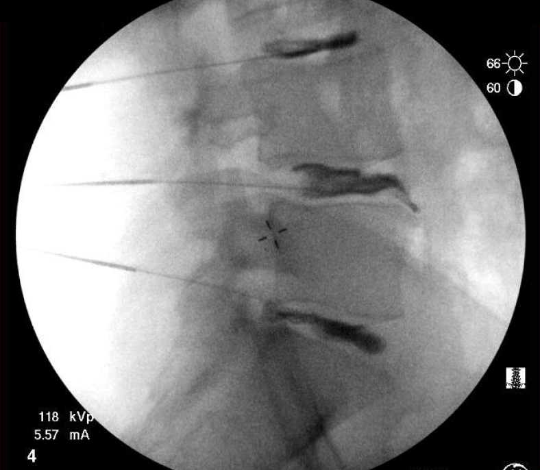
Intradiscal Injection. The concentrated bone marrow extract is then injected into your intravertebral disc. The entire procedure is done live under x-ray guidance.
Recovery. After the procedure, most patients are up and walking within 24 hours. Immediately after the procedure, your damaged disc/s will start healing, which is a continuous process over the next 12 months. Most patients experience relief at 3-6 months post procedure because our discs heal slowly.
Am I a candidate for an Intradiscal Injection?
Any person with long lasting low back pain is a potential candidate. A person with low back pain who’s had surgery or a person with low back pain who prefers to avoid surgery is also a potential candidate, because the cushion in the back known as the disc is the most common cause of low back pain. Contact us to find out if you are a candidate.
Is it painful?
No. We use conscious sedation during the procedure, so it is not painful or uncomfortable for our patients. Conscious sedation is a combination of medicines to help you relax (a sedative) and to block pain (an anesthetic) during a medical procedure. Under conscious sedation, you may fall asleep, but you will wake up easily to respond to people in the room. You may be able to respond to verbal instructions. After conscious sedation, you may feel drowsy and not remember much about your procedure, but you will recover quickly and we encourage you to begin walking the next day.
What is the recovery time?
This is an outpatient procedure done in a morning or afternoon. You will likely need a few days to rest, however, we want you up and walking around the day following your procedure. After the first few days, when you are feeling up to it, we want you to begin a daily regimen of walking, gradually building up your walking distance every few weeks. Most people need prescription pain medication for the first few weeks.
Most people see a change within 3 – 6 months after the procedure, and some are sooner than that. Most people are back at work the week after their procedure. It is normal to experience increased symptoms after your procedure and then go through a period of time where the pain waxes and wanes for several months.
The main thing to remember following your procedure is to avoid two movements: flexion (forward bending) and rotation (twisting). Flexion is a compressive force and rotation is a shear force, both of which can damage and tear discs. Many people ask, “How long do I have to avoid those movements?” We encourage all patients to avoid these movements as a lifestyle because we know these are the two forces that can damage and tear discs. We recommend working with a physical therapist for a short period of time following the procedure to learn new body mechanics in order to avoid movements that cause wear and tear on the discs.
How long will it take for my disc to be healed?
It can take 3 – 12 months for the disc to be restored and for you to have noticeably decreased pain and improved function. Beginning the day of your procedure, your discs will begin the healing process. Most patients experience increased symptoms following the procedure for several weeks and do not notice significant change from their usual pain for 3-6 months. Occasionally some notice a quick difference, but that is the exception, not the norm.
What about my current pain medications?
We will work with your prescriptions and provide pain medications immediately following your procedure. If you are an out of state patient, because of pharmacy regulations, we ask that you follow up with a pain management doctor in your hometown before your prescription runs out if you need to continue medications to manage your pain.